miércoles, 12 de enero de 2022

El parasitismo vive entre nosotros: lecciones de Toxoplasma

Un neurotransmisor para gobernarlos a todos

Los adolescentes que tienen adicción a internet o a los smartphones experimentaron un aumento en los niveles en la corteza cingulada anterior de un neurotransmisor llamado ácido gamma aminobutírico (GABA), que inhibe o ralentiza las señales cerebrales,

Toxoplasma es capaz de alterar los niveles de dopamina y GABA de los humanos. Recientemente se ha visto que controla la mente de los cachorros de hiena y los vuelve más agresivos e imprudentes frente a los leones, lo que favorece que el parásito infecte a los leones después de que estos maten a estos cachorros y, concomitantemente, beneficie a las hienas que se benefician de estas crías kamikazes que las protegen del ataque de los leones.

En 2013, un artículo publicado en Nature, demostraba que el olor a orina de gato resultaba muy atractivo para aquellos ratones parasitados por Toxoplasma gondii

Uno de cada tres estamos infectados por T. gondii

T. gondii infecta al 30-50% de la población mundial. El hospedador primario son los felinos. Es ahí en donde el parásito tiene su ciclo sexual. En los demás mamíferos vive de manera asexual y los "fuerza a ser comidos" por un felino. En el caso humano es bastante improbable que seamos devorados por un felino. Menos aún los delfines o las ballenas que también se contaminan con T. gondii debido a los ooquistes procedentes de las heces de los gatos y que llegan al mar por los deshechos urbanos.

Ciclo vital de T. gondii. Fuente

T. gondii y los humanos

T. gondii se transmite al ser humano y la infección natural adquirida tiene, por lo regular, curso benigno y curación espontánea, pero puede ser grave para el niño que la adquiere por vía congénita, es decir, en el momento de la gestación por una madre portadora de T. gondii. Los daños en niños suelen ser neurológicos o de visión. Con la epidemia de sida, la toxoplasmosis ha adquirido importancia por los gravísimos cuadros clínicos de estos pacientes. 

Los trofozoitos son capaces de atravesar la barrera placentaria, esta transmisión puede ocurrir sólo si la madre adquiere la primo infección durante el embarazo, pues la inmunidad proporcionada por infecciones pasadas no permite nuevas parasitemias. Puede producir aborto, parto prematuro, mortinatos o niños aparentemente asintomáticos que desarrollan problemas neurológicos o visuales más adelante. 

El riesgo de transmisión es variable de acuerdo al periodo de gestación: menos del 2% antes de la 10º semana, 17% hasta la 15ª semana (primer trimestre); 30-55% en el segundo trimestre, 60-65% en el tercer trimestre.

Consejos para las embarazadas

La carne debe ser cocida a 66º o superior, o congelada durante 24 horas en un congelador doméstico (a menos de −12 °C), ambos letales para los taquizoítos y los bradizoítos. La congelación de la carne antes del consumo parece ser la intervención más eficaz para prevenir la toxoplasmosis transmitida por la carne.

Ser propietario de un gato sólo está débilmente asociado con una infección aguda. Esto es probablemente porque los gatos sólo excretan ooquistes durante tres semanas de su vida, y las personas son tan probables de estar expuestos a oocistos excretados por el gato de otra persona. Sin embargo, parece razonable para las mujeres embarazadas con gatos a pedir a otra persona para cambiar la caja de arena a diario (heces de gato frescas no son infecciosas).

Se debe de beber agua filtrada

Lavar frutas y verduras

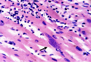
Quiste en músculo cardiaco con formas sugestivas de bradizoítos (flecha). Hematoxilina y eosina, 10X. Fuente: Toxoplasmosis aguda diseminada fatal en una paciente adulta inmunocompetente proveniente del Pacífico colombiano


Toxoplasma tiene un apicoplasto y no puede vivir sin él

Está rodeado por cuatro membranas. Contiene su propio genoma: una molécula circular de ADN con un tamaño de 35.000 pares de bases que codifica aproximadamente 30 proteínas, un conjunto completo de ARNt y otras moléculas de ARN. Es capaz de reparar, replicar, transcribir y traducir sus genes. Puesto que 30 proteínas no son suficientes para la operación del apicoplasto, necesita importar otras proteínas (unas 500) del citplasma, codificadas por el genoma nuclear. Contiene partículas que se supone proceden de ribosomas de ascendencia bacteriana.
Células humanas portando parásitos T. gondii que en su interior llevan el remanente de una bacteria fotosintética. T. gondii es capaz de alterar los neurotransmisores del mamífero e incluso alterar el comportamiento de grupo de los mismos. La matriuska genética en todo su esplendor

No hay comentarios:

Publicar un comentario

Cada vez que lees un artículo y no dejas un comentario, alguien mata a un gatito en alguna parte del mundo...