A la hora de observar patógenos intracelulares es importante recordar que la sangre, además de glóbulos rojos también tiene blancos y éstos tienen un núcleo que se va a teñir de azul. Esa tinción puede llevar al alumno a la confusión con el parásito intracelular
Principales tipos celulares que se observan en un frotis o extensión de sangre humana.
FuenteFormas sexuadas y asexuadas de Plasmodium falcifarum
Ecuador alcanzó 242 casos en el 2014, está sufriendo un rebrote de la enfermedad, con 1 143 casos autóctonos en el 2017, 9 y
1 250 casos en 2018. En este país, las zonas maláricas se concentran principalmente en unas pocas provincias a lo largo de la frontera amazónica con Perú y en la zona costera noroccidental fronteriza con Colombia. La OMS
espera que para 2020 la enfermedad esté erradicada.

Ciclo vital de Plasmodium: El ciclo viral del parásito del paludismo requiere 2 huéspedes. Al alimentarse de sangre, un mosquito hembra Anopheles infectado inocula esporozoítos en el huésped humano.
Los esporozoítos infectan a los hepatocitos. Allí, los esporozoítos maduran para convertirse en esquizontes. Los esquizontes se rompen y liberan merozoítos. Esta replicación inicial en el hígado se denomina ciclo exoeritrocítico. Los merozoítos infectan a los eritrocitos. Allí, los parásitos se multiplican en forma asexual (denominado ciclo eritrocítico). Los merozoítos se convierten en trofozoítos anulares. Algunos de estos trofozoítos maduran a esquizontes. Los esquizontes se rompen y liberan merozoítos. Algunos trofozoítos se diferencian en gametocitos.

Durante una picadura, el mosquito Anopheles ingiere a los gametocitos macho (microgametocitos) y hembra (macrogametocitos), que ingresan en el ciclo esporogónico. En el estómago del mosquito, los microgametos penetran en los macrogametos y forman cigotos. Los cigotos adquieren movilidad, se alargan y desarrollan ovocinetos. Los ovocinetos invaden la pared del intestino medio del mosquito, donde se convierten en ovoquistes. Los ovoquistes crecen, se rompen y liberan esporozoítos, que migran a las glándulas salivales del mosquito. La inoculación de los esporozoítos en un nuevo huésped humano perpetúa el ciclo vital del parásito del paludismo.
Autor: Holger Quiñonez
Autor Carlos S. Ronquillo
Autora: Angelie Li Ting León Chong Sing
Autora: Angelie Li Ting León Chong Sing
Autora: Angelie Li Ting León Chong Sing
Autora: Angelie Li Ting León Chong Sing
Autora: Angelie Li Ting León Chong Sing
Autora: María Elice Morán Jaramillo
Formas sexuadas y asexuadas de Toxoplasma gondii
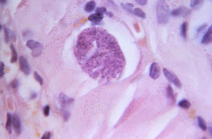
Quiste de Toxoplasma gondii, que contiene bradizoítos en desarrollo (aumento de 900X) teñidos con hematoxilina y eosina de una muestra de tejido muscular humano. Fuente
Taquizoítos de Toxoplasma gondii, en forma de media luna y que nadan libremente (aumento de 1125X). Muestra de líquido ascítico de abdomen de ratón
Ciclo de vida de Toxoplasma gondii: 1a. Los huevos se excretan en las heces de gato. Se eliminan muchos huevos, pero por lo general sólo durante 1 a 2 semanas. Después de 1 a 5 días en el medio ambiente, los huevos se vuelven capaces de causar la infección.
1b. Los gatos pueden volver a infectarse por el consumo de alimentos u otros materiales contaminados con los huevos.
2. Otros animales (como las aves silvestres, los roedores, los venados, los cerdos y los ovinos) pueden consumir los huevos procedentes de la tierra, el agua, el material vegetal o la arena contaminadas.
3. Poco después de ser consumidos, los huevos liberan formas del parásito que se pueden desplazar (llamadas taquizoítos).
4. Los taquizoítos se diseminan por todo el cuerpo del animal y forman quistes en el tejido nervioso y muscular.
5. Los gatos se infectan después de comer animales que contienen estos quistes.
6a. La infección se adquiere comiendo carne poco cocida que contenga los quistes.
6b. Las personas también se pueden infectar si comen alimentos, agua u otros materiales (como la tierra) contaminados con heces de gato o cuando tocan la arena sanitaria de su mascota y luego se llevan las manos a la boca.
7. En casos poco frecuentes, una persona puede infectarse a través de una transfusión de sangre o del trasplante de un órgano que contenga el parásito.
8. En raras ocasiones, la infección se transmite de la madre al feto.
9. En las personas, los parásitos forman quistes en los tejidos, por lo general en los músculos y el corazón, el encéfalo y los ojos.
Para saber más:
https://www.revistareduca.es/index.php/biologia/article/viewFile/779/795
!INCREIBLEEEEEEEEEEEEEEEEEEEEEEEEEEEEEE!!!
ResponderEliminar¿Entonces no puedo tener un gatito? :(
ResponderEliminar